2018年11月10日“华建蓝海莲花医生暨医学影像人工智能技术平台研讨会”在京举行,原卫生部信息办主任、中国女医师学会副秘书长高燕婕教授,中国影像技术学会主委付海鸿教授,北京华建蓝海科技有限责任公司CEO陈琦程先生、高级副总裁范宇先生,浪潮集团副总裁高传贵先生,IBM大中华区医疗和生命科学方案总经理刘洪先生、华建蓝海波士顿AI联合研究院首席科学家Humayun博士、福建医科大学附属协和医院薛蕴菁教授,山东省千佛山医院李爱银教授等50多位嘉宾共同参加了此次研讨会。
研讨会上 “华建蓝海莲花医生暨医学影像人工智能技术平台”正式启动上线,国际第一款全诊疗周期乳腺健康人工智能辅助诊断应用的上线,揭开人工智能莲花医生在中国落地的新篇章。

(华建蓝海莲花医生暨医学影像人工智能技术平台上线仪式)
华建莲花医生,人工智能手段辅助临床决策成为可能
研讨会上高燕婕教授对人工智能提出三点建议,一是结合临床的数据,二是重视基层医疗,三是影像人才的培养,华建蓝海人工智能平台搭载的存储能力、迅猛发展的计算能力,势将满足医疗需求。
付海鸿教授指出医学精准要影像先行,影像精准要技术先行,但是也不能一味把目光放在技术层面,医学影像也要人文关怀。华建蓝海能够关注到女性健康,做的是一件正确的事,一件有意义的事,相信莲花医生能为更多女性造福。
浪潮高传贵副总裁表示华建蓝海作为我国首个健康医疗大数据产业生态战略联盟成员,已部署在浪潮的大数据平台上的华建蓝海系统已开始实践性的应用,今天见证华建蓝海新产品平台上线,这将为双方的合作又创造了新的机遇。

前哈佛大学医疗影像及机器学习研究员,曾获2016年医疗影像算法技术国际生化影像大会(ISBI)比赛第一名,现任华建蓝海公司波士顿AI研究院首席科学家Humayun Irshad说到 AI系统可以向医生提供最新的医学信息,帮助医生向患者提供更具有针对性的治疗,减少人类在临床实践中无法避免的一些错误。 同样,AI系统在大量患者中提取有效信息,可以实时进行健康风险预警。 我们相信,在可预见的未来,医生是不会被机器完全取代的,但AI肯定可以帮助医生做出更好的临床决策。华建蓝海将利用自有的AI技术平台和国际化的专业知识,帮助AI在中国医疗领域落地。
谈及人工智能一个离不开的话题就是临床应用,来自福建医科大学附属协和医院薛蕴菁教授,山东省千佛山医院的李爱银教授分享了和华建蓝海成立“人工智能联合实验室”后,经过近一年的不断努力,在跨区域乳腺钼靶影像的自适应人工智能的诊断方法上取得了国际领先的成果,人工智能判读技术算法在跨区域乳腺钼靶影像数据集得到了目前世界上最好的AUC分数之一 0.9413,每个病例的CAD判读时间为0.3秒。

(华建蓝海莲花医生暨医学影像人工智能技术平台研讨会现场)
赋能女性健康,莲花医生和人工智能技术平台双保险
莲花医生是华建蓝海专为女性打造的基于人工智能全诊疗周期乳腺健康管理平台,涵盖筛查、诊断、治疗、回访全流程。目前在乳腺钼靶诊断领域已与国内顶级三甲医院达成合作。
华建蓝海莲花医生打造的全诊疗周期乳腺健康管理平台,不只提供AI智能辅助判读,还提供开放集成、深度学习、个性化定制、健康档案等全程服务,涵盖乳腺健康管理全诊疗周期,用人工智能技术,赋能女性健康。
华建医学影像人工智能技术平台还提供个性化定制服务,集专家顾问咨询、个性化实施、联合科研和国际交流于一身,助力人工智能在中国广泛落地。

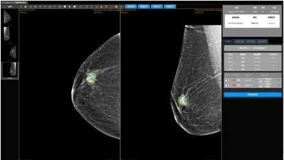
(华建蓝海莲花医生B端界面图)
华建蓝海致力于用大数据人工智能呵护女性健康幸福。莲花医生专注女性乳腺健康管理全诊疗周期应用,医学影像技术平台将以专业化、国际化、人工智能化、云平台化的特色,用开放的心态分享我们的成果,汇聚来自各方力量,推动全球先进的人工智能技术在中国落地。这正如华建蓝海CEO陈琦程先生在会议开场致辞里讲到“我们专注人工智能女性乳腺健康管理全诊疗周期应用,同时开放我们的医学影像人工智能技术平台,助力合作伙伴及研究创新性医院攻克其他器官和病种的应用,众志成城,造福人类命运共同体。”